Umbilical-brain endothelial communication via TSP-1 is linked with reduced brain angiogenesis in offspring of preeclampsia

Avatar
Poster
Voice is AI-generated
Connected to paperThis paper is a preprint and has not been certified by peer review

Umbilical-brain endothelial communication via TSP-1 is linked with reduced brain angiogenesis in offspring of preeclampsia

Authors

Escudero, C.; Escudero-Guevara, E. A.; Troncoso, F.; Sandoval, H.; Vargas, C.; Alarcon, M.; Mistry, H. D.; Kurlak, L. O.; Moore-Carrasco, R.; Acurio, J.

Abstract

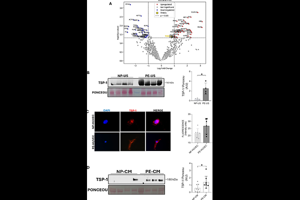
Background: Preeclampsia, a maternal hypertensive syndrome affect fetal brain development and cerebral angiogenesis, with potential acute and long-term consequences. Underlying mechanisms of these brain vascular alterations are unknown. This study investigates the role of thrombospondin-1 (TSP-1), an antiangiogenic glycoprotein, as a key mediator of communication between the fetoplacental and fetal brain endothelium in the context of preeclampsia. Methods: Conditioned media (CM) of human umbilical vein endothelial cells (HUVECs) from normal pregnancies (NP-CM) and preeclamptic pregnancies (PE-CM), were used to treat human (hCMEC/D3) and murine brain microvascular endothelial cells (BMECs). A proteomic analysis was performed in plasma of the umbilical cord of normal pregnancy and preeclampsia. TSP-1 was identify using proteomic analysis and confirmed by Western blot. PE-CM depleted of TSP-1, using immunoprecipitation, was used to evaluate protein-protein interaction with vascular endothelial growth factor (VEGF). Antibody-mediated blockage of TSP-1 was used to investigate antiangiogenic effect and pro-angiogenic signaling pathways in brain endothelial cells exposed to PE-CM. Results: PE-CM significantly reduced angiogenesis, migration, and invasion of brain endothelial cells and altered cytoskeletal organization. These effects were accompanied by reduced VEGFR2 and AKT signaling, indicating impaired angiogenic pathways. Proteomic analysis of umbilical cord plasma revealed elevated TSP-1 levels in preeclampsia, which was confirmed by Western blotting. TSP-1 was also increased in PE-CM, and immunoprecipitation assays suggested a protein-protein interaction with VEGF. Antibody-mediated blockade of TSP-1 restored angiogenesis, as reflected by increased total tube length, and rescued VEGFR2 and AKT signaling in brain endothelial cells exposed to PE-CM. Conclusion: TSP-1-mediated endothelium-endothelium communication between placenta-brain axis in offspring of mothers with preeclampsia. This communication mediated by TSP-1 may contribute to acute and long-lasting cerebrovascular dysfunction observed in infants exposed to preeclampsia.

Follow Us on

0 comments

Add comment