Endothelial β-PIX (ARHGEF7) drives exocytosis through enabling the dynamic reorganisation of the cytoskeleton

Avatar
Poster
Voice is AI-generated
Connected to paperThis paper is a preprint and has not been certified by peer review

Endothelial β-PIX (ARHGEF7) drives exocytosis through enabling the dynamic reorganisation of the cytoskeleton

Authors

El-Mansi, S.; Deegan, K. M.; Donker, L.; Godinho, S.; Nightingale, T. D.

Abstract

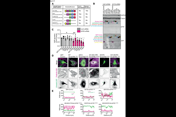
Endothelial cells rapidly respond to blood vessel injury or infection by releasing haemostatic and inflammatory proteins from their secretory organelles called Weibel-Palade Bodies (WPBs). Upon stimulation, WPBs traffic to the cell surface to secrete cargo such as von Willebrand factor (VWF), essential for platelet recruitment, and P-selectin, which facilitates the capture and subsequent rolling of immune cells. While this process is critical, many aspects of WPB trafficking and exocytosis remain unclear particularly how release sites are selected across the cell surface and how fusion is directed to either the apical (lumen-facing) or basolateral (basement membrane-facing) side. These decisions directly impact the biological consequences and effectiveness of the secreted proteins. Using live-cell imaging, fibronectin micropatterning, loss-of-function and biochemical assays, we identified trafficking and release at hot spots near focal adhesions (FAs). We also discovered that the FA-resident guanine nucleotide exchange factor (GEF), {beta}-PIX (ARHGEF7), regulates VWF secretion. {beta}-PIX is known to activate Rho GTPases (Cdc42/Rac), triggering downstream p21-activated kinase 2 (PAK2) signalling and cytoskeletal remodelling. Here, depletion of {beta}-PIX impaired VWF secretion and delayed its release by perturbing cytoskeletal reorganisation. Knockdown and rescue experiments using truncated mutants further revealed which domains of {beta}-PIX are necessary for exocytosis and cytoskeletal reorganisation. This is the first demonstration of {beta}-PIX\'s role in VWF secretion from endothelial cells and our data provides new insights into spatial targeting of WPB exocytosis. Such targeting may be essential for guiding leukocyte transmigration or platelet binding, thereby maintaining vascular integrity.

Follow Us on

0 comments

Add comment