Non-translated mRNA levels determine P-body properties

Avatar
Poster
Voice is AI-generated
Connected to paperThis paper is a preprint and has not been certified by peer review

Non-translated mRNA levels determine P-body properties

Authors

Mookherjee, D.; Rommel, M.; Weidner, F.; Siketanc, M.; Hondele, M.; Spang, A.

Abstract

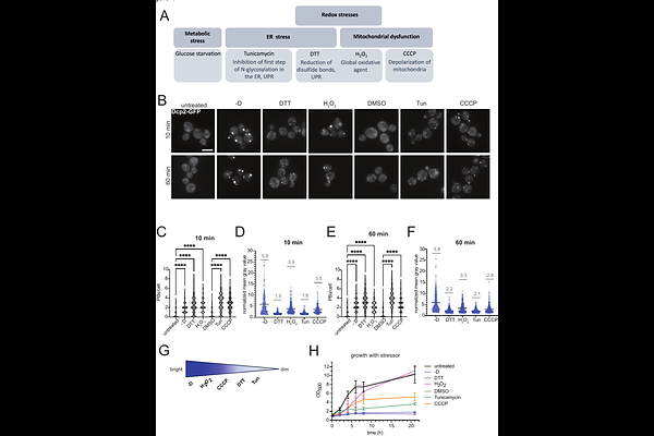
Translational repression enables rapid adaptation to environmental changes. Under stress, translational repressed mRNA and mRNA decay factors accumulate in cytoplasmic processing bodies (PBs), implicated in mRNA storage and decay. PBs have been mostly studied under glucose starvation in yeast, yet, knowledge is limited under other stress conditions. Here, we identify a correlation between the level of translation attenuation and the number, brightness, fluidity and recruitment of PB core components. Stresses triggering strong translation attenuation caused the formation of few bright and more fluid PBs that recruit the decay factors en bloc. Conversely, weaker translation attenuation induced numerous, dim, more viscous PBs to which PB proteins were sequentially recruited. Importantly, increasing non-translated mRNA levels augmented the brightness of dim PBs and accelerated decay machinery recruitment. Finally, boosting RNA levels increased the size of Dhh1 helicase-containing droplets in vitro. Taken together, we propose a model in which the assembly pathway and biophysical properties of PBs are governed by non-translated mRNA abundance.

Follow Us on

0 comments

Add comment