PAMD-Ch17, a Polymeric Analog of Plerixafor, Induces Mitochondrial Dysfunction in T-ALL Cells Independent of CXCR4

Avatar
Poster
Voice is AI-generated
Connected to paperThis paper is a preprint and has not been certified by peer review

PAMD-Ch17, a Polymeric Analog of Plerixafor, Induces Mitochondrial Dysfunction in T-ALL Cells Independent of CXCR4

Authors

Lam, C.; Dhir, A.; Jogdeo, C. M.; Panda, S.; Kapoor, E.; Tang, S.; Rivero, V.; McIntyre, E. M.; Xiao, P.; Black, A. R.; Hewitt, K.; Swenson, S. A.; Romanova, S.; Oupicky, D.; Hyde, R. K.

Abstract

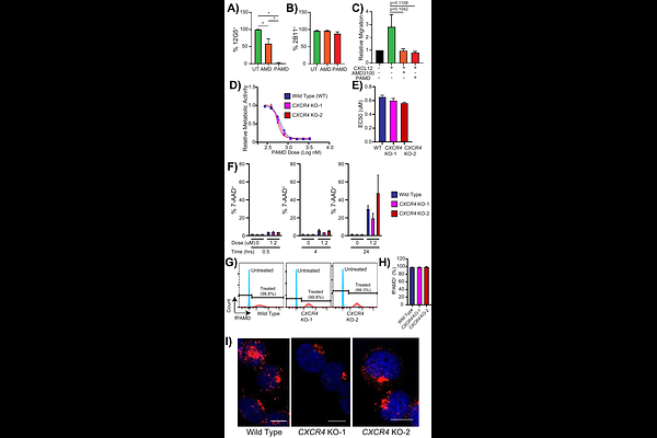
PAMD-Ch17 is a polymer composed of the CXCR4 inhibitor AMD3100/Plerixafor with a cholesterol modification. In previous work, we showed that PAMD-Ch17, but not AMD3100, induces cell death and differentiation in mouse Acute Myeloid Leukemia cells. To investigate the mechanism of PAMD-Ch17 novel anti-leukemic effects, we tested PAMD-Ch17 against a panel of human leukemia cell lines and found that PAMD-Ch17 is effective against a variety of acute leukemias, with T-ALL cell lines being highly sensitive. Surprisingly, CXCR4 knock out T-ALL cells were equally sensitive to PAMD-Ch17. Using a fluorescently tagged PAMD-Ch17, we found that the drug colocalized to the mitochondria. We also found that PAMD-Ch17 induced changes in expression of genes related to mitochondrial function, increased levels of mitochondrial superoxide, and decreased mitochondrial membrane potential. Using seahorse assays, we found that PAMD-Ch17 decreased baseline oxygen consumption, ATP production, and proton leakage. PAMD-Ch17 also decreased baseline extracellular acidification rate, indicating a decrease in overall metabolism. In mouse primary T-ALL but not healthy bone marrow cells, PAMD-Ch17 induced both mitochondrial superoxide and cell death. Using human bone marrow organoids, we found that PAMD-Ch17 induced mitochondrial superoxide and cell death in human primary T-ALL cells, but not in healthy stromal and hematopoietic cells. Collectively, our results indicate that PAMD-Ch17 has anti-leukemic effects against T-ALL cells but not healthy cells, likely mediated through a CXCR4 independent, mitochondrial based mechanism. These findings support further development of PAMDs as potential therapeutics for patients with T-ALL.

Follow Us on

0 comments

Add comment