Host cell traversal by Plasmodium parasites is essential for sterilizing hepatic cellular immunity.

Avatar
Poster
Voice is AI-generated
Connected to paperThis paper is a preprint and has not been certified by peer review

Host cell traversal by Plasmodium parasites is essential for sterilizing hepatic cellular immunity.

Authors

Rodrigues, A.; Mendes, A. M.; Goncalves, R.; Nunes-Cabaco, H.; Marques, S.; Valente-Leal, N.; Ferreira, C.; Veldhoen, M.; Prudencio, M.; Mota, M. M.; Ferreira Chora, A.

Abstract

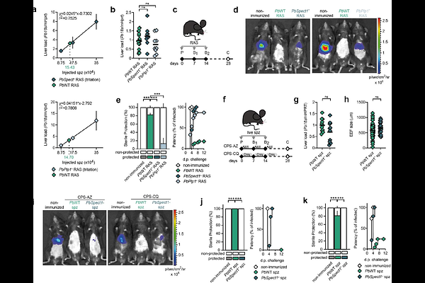
An effective vaccine capable of inducing sterile protection against Plasmodium, the causative agent of malaria, is critical to aid global eradication. Whole-organism vaccines using liver-infective sporozoites provide high levels of sterile protection against pre-erythrocytic infection. Yet, determinants of sporozoite immunogenicity remain poorly characterized. Using rodent models of vaccination, we demonstrate that the ability of Plasmodium sporozoites to actively migrate through multiple host cells prior to infecting hepatocytes is required for sterilizing immunity, regardless of the time of intrahepatic development of immunizing parasites. We further establish that host cell traversal is sufficient to trigger robust protection against Plasmodium hepatic infection. Impaired cell traversal precludes protective liver-resident memory CD8 T cell responses following vaccination, but not the production of anti-plasmodial antibodies. Our findings challenge the prevailing notion that intrahepatic parasite development is the sole determinant of whole-sporozoite vaccination-induced protection, and highlight parasite behavior traits as critical immunogenic events shaping sterilizing cellular immunity against Plasmodium liver stages.

Follow Us on

0 comments

Add comment